Crowns or caps are a protective restoration that covers the entire aspect of the tooth. Crowns are recommended for many different reasons.
Most offices require 2 visits to complete a crown. At Murphy Family Dental we have the technology available to complete this process in just one visit. First the tooth is prepared and 3D intraoral scan is taken. No more messy impressions. Then the final restoration is designed right there for the patient to see. Once designed the crown is sent to our 3D mill which can mill out the beautiful all ceramic crown in as little as 10 minutes. After 15 minutes in the oven to crystallize the material and it’s ready to be cemented.
Crown diagram 1
Crown diagram 2
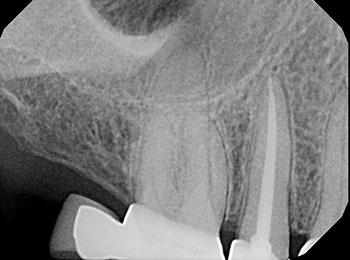
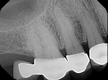
Root canal treatment is a procedure in which the nerve or pulp of the tooth is removed. Patients can need root canals for many different reasons. Is is most common when there is either inflammation or infection of the nerve of the tooth. Sometime a root canal is simply necessary due to lack of tooth structure to restore the tooth. During a root canal, the dentist will isolate the area and carefully clean, shape, disinfect, and fill the canals of the roots to seal the space. Most often we will recommend a crown to help strengthen the tooth and prevent it from fracturing.
Before root canal

After root canal
At Murphy Family Dental we use both a digital panoramic X-ray machine as well as digital intra oral sensors. These both give us an instant view of the teeth and surrounding structures while limiting the amount of radiation by up to 70%.
We also have intra oral cavity detection cameras that allow us to diagnose cavities very early which don’t use any radiation.
While silver/amalgam fillings are a safe, long-lasting, and trusted dental material — tooth-colored/metal free fillings can provide a strong esthetic alternative. These composite resin fillings are bonded to tooth structure allowing minimal removal of tooth structure making them a very conservative restoration. Materials come in a wide variety of shades to ensure proper color matching and is therefore visually undetectable.
Before decay removal
After decay removal
Bonding is an option for chipped or cracked teeth as well as an occasional alternative to veneers in certain cases. It is a process in which a series of composite materials of varying shades, tints, opacities and physical properties are used to precisely replicate any missing tooth structure. These next-generation materials are bonded to the tooth's surface, sculpted into shape, hardened, and then polished to match adjacent teeth.

Before bonding

After bonding
© 2019 Murphy Family Dental